안녕하세요.
오늘은 일자목통증 병원, 약 물리치료에 대해 정리하는 시간을 가지도록 하겠습니다.
그리고 치료과정에서 충격파치료를 받았는데 그 비용도 정리를 해볼게요.
저는 컴퓨터를 많이 사용하는 직업을 가지고 있습니다.
지금도 컴퓨터로 글을 쓰고 있는데요,
그 과정에서 목의 자세 때문에 목 뒤쪽부터 승모근까지 통증을 자주 느끼고는 합니다.
5년넘게 병원을 많이 오가면서, 이 목의 통증이
컴퓨터를 하는데 좋지 못한 자세로 일하고,
스트레스를 많이 느껴 목이 긴장하고 있는 상태에서 발생한다는 사실을 알게 되었습니다.
그래서, 오늘은 저 같이 일자목통증으로 고생하는 분들에게
저의 경험담을 전달하는 시간을 가져보고 싶습니다.
1. 일자목이란 무엇인가?
5년전에 목이 너무 아파서, 정형외과에 가서 엑스레이를 찍어 보았습니다.
그리고 의사선생님께서는 '일자목 입니다. 컴퓨터 많이 하시나봐요!' 라고
말씀하셨습니다.
컴퓨터를 할때, 자세가 중요한데,
아래와 같이 얼굴을 내밀고 모니터를 보게되면
머리의 하중을 근육이 받치게 된다고 합니다.
결국 머리가 앞으로 치중하다보니, 머리의 무게중심이 앞으로가고
머리를 받치고 있는 아래 승모근이 더 큰 힘을 받게 된다고 합니다.
이러한 자세가 지속하다 되면 승모근 쪽의 통증이 유발되게 되고
아래와 같이 점점 거북이 처럼 얼굴이 앞으로 나가게 됩니다.
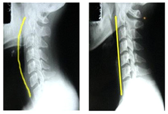
원래 아래와 왼쪽그림같이 c 커브르 그려야 하는데
저는 오른쪽의 그림처럼, 일자의 목뼈 모습이 보이고 있었습니다.
의사선생님은 웃으면서, 직업을 바꾸시는게 제일 좋다고 이야기 하셨습니다....ㅠ
하지만 현실적으로 불가능하기 때문에
1) 컴퓨터 모니터를 위로 올리고, 자세에 신경을 써야 한다고 말씀하셨고,
2) 지속적으로 스트레칭을 해주어야 한다고 말씀하셨습니다.
그리고는 목에 통증을 풀어주는 주사를 놓아주셨습니다.
하지만 이 주사는 일시적으로 근육의 통증을 줄여주는 것이지
위의 1)~2)번을 잘 해야 한다고 하더라고요 ㅎㅎ
그런데 제가 목통증이 많이 나타날때를 보면
회사에서 계속 스트레스를 받고, 회사에서 계속된 급한 문제가 터져서
저도 모르게 계속 근육이 긴장할때 발생하는 것을 알게 되었습니다.
직업을 바꾸어야 하나...
ㅎㅎ
그리고 요즘에는 충격파치료를 많이 권해주시는데
충격파 치료를 받으니 회복이 조금더 빠르게 되는 것을 느끼게 되었습니다.
그럼 충격파치료가 무엇이고 비용이 얼마나 되는지 알아 보도록 하겠습니다.
2. 충격파치료란 무엇이고 비용은 얼마?
체외 충격파 치료라고도 불리는데
이 치료는 근골격계의 통증부의에 분당1000~ 1500회의 충격파를 주어서
통증부위의 혈류량을 증가시켜서 염증을 개선하는 비수술 치료법입니다.
아래와 같은 기계를 몸에 접촉하고
10~15분가량 충격파치료를 하게 됩니다.
조금 아프긴 하지만,
신기하게 치료를 하면 통증이 개선되는 것을 알게 되었습니다.
충격파 치료는 60,000만원 들었습니다.
하지만 비급여이기 때문에
실손으로 40,000원 바로 돌려 받았습니다.
그리고, 통증이 심해서 그런지 약도 처방해 주셨습니다.
그러면 지금부터 어떠한 약을 처방해 주셨는지 알아 보도록 하겠습니다.
3. 목통증 치료약 정리
우선아래와 같이 처방을 받았습니다.
류마크로정, 레코스타정, 엑소닌CR서방정, 마그네스정
그러면 이러한 약들이 어떠한 특성을 지니고 있는지 간단히 알아보도록 하겠습니다.
1) 류마크로정
약의 효능을 살펴보니, 골관절염, 강직척추염의 염증, 요통, 좌골통에 생기는 통증을 완화시키는 역할을 한다고 합니다.
결국 통증완화 약이라는 것을 알 수 있네요.
2) 레코스타정
위궤양을 완화시키는 약으로, 다른약들이 위에 미치는 영향을 줄이기 위해
처방된 약이라는 것을 알 수 있습니다.
약을 사용하여 발생하는 문제를 또 다른 약으로 처방하고 있네요!
3) 엑소닌CR서방정
이 약은 근육에 대해 영향을 미치는 약이라는 것을 알 수 있습니다.
근육의 통증을 완화시키기 위한 약이네요.
4) 마그네스정
근육의 경련을 치료하기 위한 약입니다.
결국, 근골격 관련 통증 완화 약
근육 관련 통증 완화 약
그리고 이로인한 위쪽에 위통증을 보호하기 위한 약
이렇게 처방이 되었네요.
이러한 처방도 일시적이라는 것을 느낄 수 있습니다.
결국, 자세를 잘 잡고, 지속적으로 스트레칭을 하고,
너무 일에 몰입하지 않는 태도가 필요 할 것 같습니다.
거북목배게를 사용하시는 것도 좋은 방법이 될것 같습니다.
저는 꼭 일자목 배게를 이용해서 잠을 자고 있습니다.
하지만 의사선생님은 크게 도움은 되지 않을 거라고 하네요.
ㅎㅎ
이상으로 일자목통증 병원, 약, 물리치료 정리 및 충격파치료 비용 정리를 마치도록 하겠습니다.
'Happy Life > Information' 카테고리의 다른 글
도수치료 비용 및 효과 정리 (PT비용 비교, 개인 경험) (0) | 2022.08.02 |
---|---|
곤지암 리조트 할인 방법 정리 (LG 회원사 할인 받는 방법 추가 정리) (1) | 2022.08.01 |
한국장학재단 대학생 연합생활관 비용, 구조, 입주 및 선발기준 정리 (연합기숙사, 국가기숙사, 공공기숙사) (0) | 2022.07.30 |
공무원 월급 정리 (2022년 공무원, 경찰 소방 및 의무경찰, 군인, 교원) (0) | 2022.07.23 |
키워드 마스터 사용법 정리 (키워드 분석 사이트, 검색 순위 분석, 블로그 수익 올리기) (2) | 2022.07.19 |
댓글